Trafiłem do tego gabinetu z polecenia. Szukałem tak profesjonalnego gabinetu około 3 lat.
Mój przypadek to zjadanie zębów, tylno zgryz, oraz bardzo zniszczone zęby.
Polecam. Profesjonalne podejście stomatologów. Korzystam od jakiegoś czasu i jeszcze się nie zawiodłem
Pragniemy podziękować zespołowi Kliniki za profesjonalizm, uprzejmość i pomoc. To była nasza pierwsza wizyta z córką i już wiemy, że nasza rodzina będzie tu gościła.



Stomatologia estetyczna to nowopowstała dziedzina stomatologii, zajmująca się szeroko pojętą estetyką uśmiechu.

Implantologia to obecnie jedna z najbardziej dynamicznie rozwijających się dziedzin stomatologii.

Nowoczesne i w pełni wyposażone centrum cyfrowej diagnostyki RTG i tomografii komputerowej 3D

Ortodoncja to ogólnie mówiąc dziedzina stomatologii, obejmująca swym zasięgiem leczenie wad zgryzu.

Oferujemy pełen zakres nowoczesnej protetyki od rozwiązań prostych, aż po skomplikowane prace na implantach.

Szeroki wachlarz usług z zakresu chirurgii nie tylko stomatologicznej, ale również chirurgii periodontologicznej i impalntologii
Znajdujemy się w Grodzisku Mazowieckim. Dysponujemy kompleksowym zapleczem diagnostyczno-leczniczym, zaopatrzonym w wysokiej klasy sprzęt. Umożliwia to przeprowadzenie leczenia endodontycznego zgodnie z najwyższymi, światowymi standardami. Dysponujemy mikroskopem operacyjnym Carl Zeiss, wyposażonym w kamerę Full HD, dzięki której pacjent może śledzić na żywo proces leczenia. Podejmujemy się nie tylko przypadków prostych. Specjalizujemy się w przypadkach skomplikowanych, o wątpliwym rokowaniu. Usuwamy złamane narzędzia pozostawione w kanale, zamykamy perforacje, będące powikłaniem leczenia endodontycznego, czy udrażniamy zobliterowane (zatkane) kanały.
Lek. Stom.





Awaken the Body, Soothe the Mind, Feed the Soul Where Every Pose Becomes a Moment.
Szwajcarskie Implanty PREMIUM
Wychodząc naprzeciw oczekiwaniom współczesnego pacjenta, stworzyliśmy nowoczesne i w pełni wyposażone centrum cyfrowej diagnostyki RTG i tomografii komputerowej 3D. W celu zapewnienia najwyższych standardów diagnostycznych oddajemy do Państwa dyspozycji jeden z najnowocześniejszych aparatów tomograficznych 3D, obecnych na rynku.
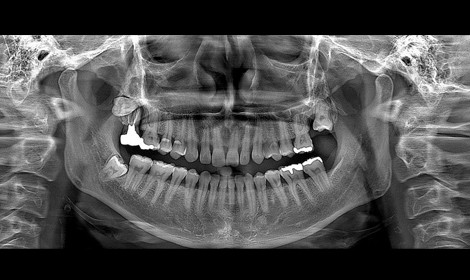
Pantomogram jest zdjęciem przeglądowym, które przedstawia ogólny stan wszystkich zębów. Oprócz oceny stanu uzębienia, umożliwia także zobrazowanie struktur anatomicznie przyległych takich jak kości szczęki i żuchwy, stawy skroniowo-żuchwowe i częściowo zatoki szczękowe. Pantomogram powinien być wykonywany rutynowo, raz na jakiś czas w celu kontroli stanu narządu żucia.
DOSKONAŁA Na podstawie 24 opinii Opublikowano na michał TokarczykTrustindex sprawdza, czy pierwotnym źródłem recenzji jest Google. Trafiłem do tego gabinetu z polecenia. Szukałem tak profesjonalnego gabinetu około 3 lat. Mój przypadek to zjadanie zębów, tylno zgryz, oraz bardzo zniszczone zęby. Pierwsza konsultacja z Panią doktor Elżbietą przebiegła w bardzo profesjonalny sposób. Zostały wytłumaczone mi wszystkie warianty reaktywacji mojego zjedzonego uśmiechu. Pani doktor Ela powiedziała mi " nie takie przypadki już trafiały do mnie. Jestem w stanie odbudować zęby bez wyrywania swoich naturalnych zębów". Praca rozpoczęła od wyrównania zgryzu tak aby zęby zaczęły ze sobą odpowiednio kontaktować. Kolejny etap to odbudowa Overlay-e, korony. Pani doktor wykonała u mnie ogromną pracę w moje zęby tak, aby przywrócić blask oraz przywrócenie to co zjadłem przez lata. Zapewniam każdego, że takich specjalistów to szukać ze świeczką. Wieloletnie doświadczenie w stomatologii oraz pełne zaangażowanie emocjonalne, zawodowe czyni Panią doktor mistrzem w swojej profesji. Z całego serca polecam ten gabinet.Opublikowano na Monika SwierczekTrustindex sprawdza, czy pierwotnym źródłem recenzji jest Google. Pragniemy podziękować zespołowi Kliniki za profesjonalizm, uprzejmość i pomoc. To była nasza pierwsza wizyta z córką i już wiemy, że nasza rodzina będzie tu gościła. Klinika na najwyższym poziomie.Opublikowano na Kamil BorkowskiTrustindex sprawdza, czy pierwotnym źródłem recenzji jest Google. Świetna obsługa jeśli chodzi o umawianie wizyt i informowanie pacjentów. Zawsze terminowo i punktualnie. Z czystym sumieniem polecam dr. Inez. Świetne podejście do pacjentów, profesjonalizm i poczucie humoru :)Opublikowano na Anna SzymańskaTrustindex sprawdza, czy pierwotnym źródłem recenzji jest Google. Polecam !Panie w recepcji służą pomocą i wszystko dokładnie tłumaczą. Lecząc zęby w gabinecie czuje się komfortowo i zaopiekowana przez najlepszych specjalistów. Leczy się tu cała moja rodzina .Polecam z całego serca .Najlepsi specjaliści jakich spotkałam dotychczas.Opublikowano na Katarzyna KawałkowskaTrustindex sprawdza, czy pierwotnym źródłem recenzji jest Google. Gabinet stomatologiczny ESTETICA mogę polecić każdemu kto boi się dentysty lub ma złe doświadczenia w leczeniu zębów w innych gabinetach. Szczególnie polecam Panią doktor Izę Buchcic i jej asystentki, podejście profesjonalne, niewiarygodnie delikatna , nie ma problemu z którym by sobie nie poradziła. Leczę tu zęby już kilka lat , szczerze polecam .Opublikowano na Karolina MaślikowskaTrustindex sprawdza, czy pierwotnym źródłem recenzji jest Google. Świetna opieka dentystyczna na najwyższym poziomie. Szczególnie polecam dr Buchcic, która leczy szybko, skutecznie i w miłej atmosferze, polecam 100%!!Opublikowano na Marek STrustindex sprawdza, czy pierwotnym źródłem recenzji jest Google. Najlepszy gabinet stomatologiczny w jakim byłem. Zęby leczą naprawdę profesjonalnie. W moim przypadku, gdzie przez połowę życia nie mogłem pić zimnych napoi i każdy stomatolog krzyczał " nadwrażliwość i taki Pana urok", tu wyleczono mi w parę wizyt i zdiagnozowano w czym tkwi naprawdę problem. Lekarze bardzo mili, i fachowo tłumaczą co i jak będzie przebiegać. Szczerze polecam wszystkim